Indreptare dinti - ortodontie la adulti
Ortodontia (tratamentul ortodontic) a ajuns, in ultimii ani, un serviciu foarte solicitat in randul pacientilor adulti. Succesul pe care il cunoaste acest serviciu se datoreaza atat mediatizarii beneficiilor acestui tip de tratament cat si avantajului aparatelor linguale invizibile.
A avea un suras placut este important la orice varsta, indiferent de stilul de viata, deoarece un aspect placut confera o crestere semnificativa a stimei de sine.
Putini sunt cei care stiu ca tratamentul ortodontic nu mai are limita de varsta.
Posibilitatile si obiectivele ortodontiei la adult reprezinta mai mult decat un zambet frumos, de a obtine echilibru si armonie intre dentitie si faţă. Tratamentele ortodontice joaca, de asemenea, un rol foarte important in imbunatatirea sanatatii orale.
Corectarea inghesuirilor dentare din zona frontala este motivul cel mai des intalnit in solicitarea tratamentului ortodontic de catre adulti.
Dintii aliniati sunt mai usor de curatat si deci, mai rezistenti la carii si mai putin predispusi afectiunilor gingivale.
Probleme date de prezenta unor canini erupti in afara arcadei sau a unor incisivi rotati si inghesuiti pot fi corectate foarte rapid cu ajutorul aparatelor fixe chiar si la varsta adulta.
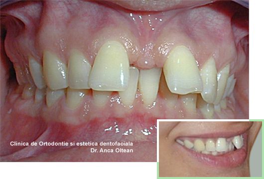
Diastema (strungareata) poate crea un adevarat handicap estetic la varsta adulta iar corectarea ortodontica aduce un adevarat beneficiu in viata individului.

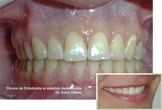
Diastema (strungareata), inainte de tratamentul ortodontic

Diastema (strungareata), dupa tratamentul ortodontic

Canin erupt in afara arcadei, inainte de tratament

Canin erupt in afara arcadei, dupa tratament
De cele mai multe ori insa, la pacientii adulti problemele dentare se complica prin migrari ale dintilor consecutive unor extractii dentare vechi, netratate sau existenta unei parodontopatii. In aceste situatii, tratamentul ortodontic este doar o etapa in cadrul tratamentului complex de reabilitare orala. Cu aparatele dentare se pot corecta axele inclinate ale unor molari in vederea inserarii unor implanturi sau chiar inchiderea biologica a unor spatii post-extractionale vechi, prin deplasarea molarilor.

Migrare dinti, inainte de tratamentul ortodintic (sus) si dupa tratamentul ortodontic (jos)
Fiecare caz necesita studiu amanuntit, de cele mai multe multi-disciplinar, planul de tratament se individualizeaza in functie de problemele existente iar rezultatele tratamentului depind in mare masura de indemanarea, cunostintele si experienta medicului ortodont alaturi de echipa de profesionisti.
